Stunning Smile Transformations

Image
Before
Image
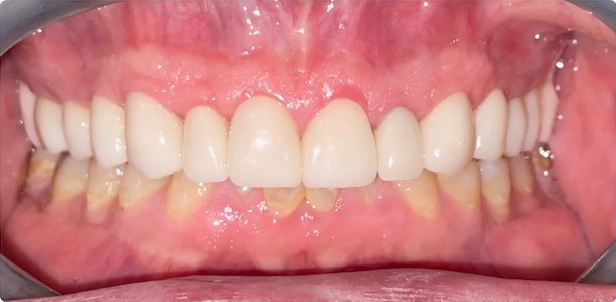
After
Image
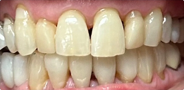
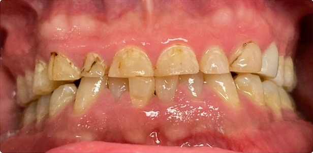
Before
Image
After
Image
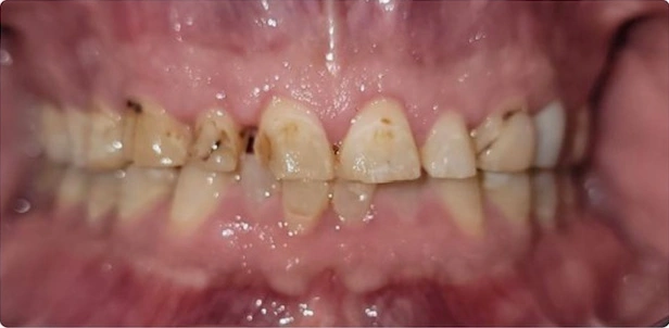
Before
Image
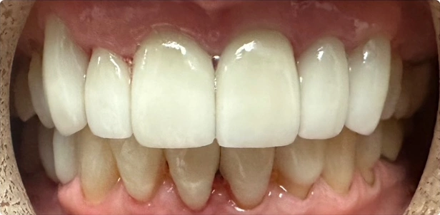
After
Image
Before
Image
After
Image
Before
Image
After

New Patients and Emergency Appointments Welcome